Skip Menu
825 Georges Rd, Suite 5, North Brunswick, NJ 08902
825 Georges Rd,
Suite 5,
North Brunswick, NJ 08902
Same Day Emergency Treatment Forms Consultations Traveling to Us?
  • Home
  • About Us
    • Our Office
    • Office Tour
    • New Patients
    • Dental Videos
    • Testimonials
  • Insurance FAQ's
  • Our Doctors
    • Maryam Abbasi, DMD
    • Glen Atlas, MD, MSc
    • Vipin Palukuri, DMD
  • Our Staff
  • Services
      • Braces
      • Crowns & Caps
      • Dental Bridges
      • Dental Fillings
      • Dentures
      • Extractions
      • Gum Treatment
      • Implant Dentistry
      • Invisalign
      • Oral Exams
      • Orthodontics
      • Pediatric Dentistry
      • Preventive Program
      • Sedation Dentistry
      • Teeth Whitening
      • Veneers
    • View All
  • Smile Gallery
  • Dental Health
  • Contact
    • Contact Us

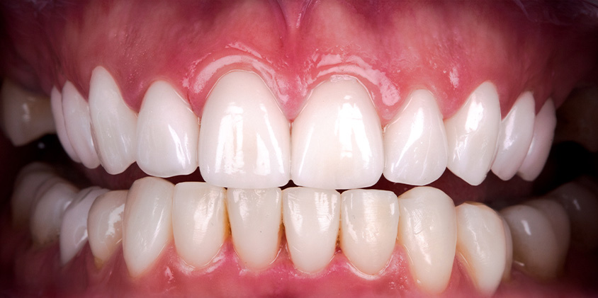
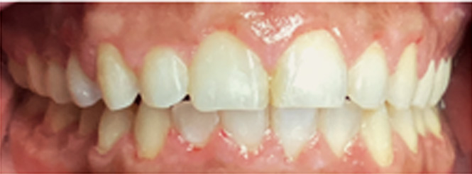
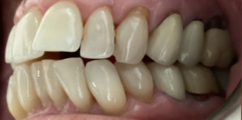
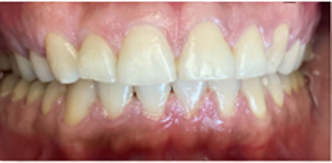
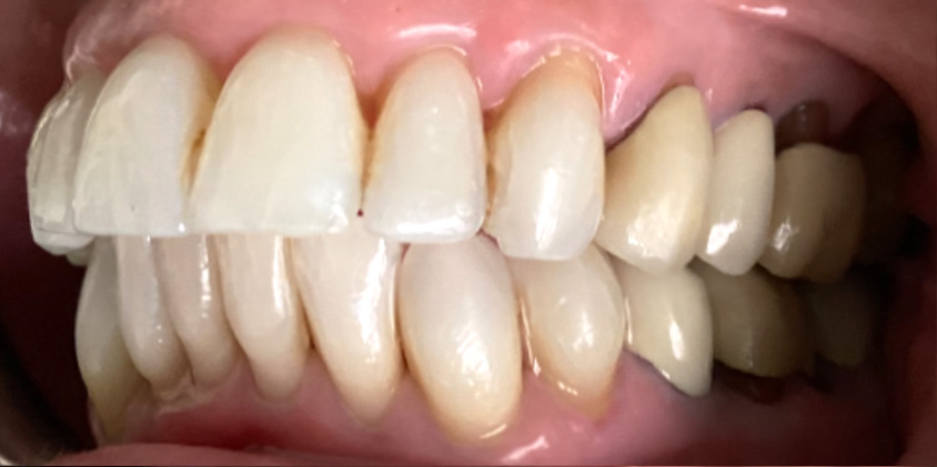
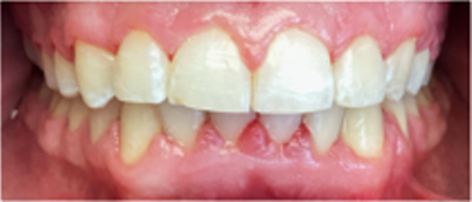
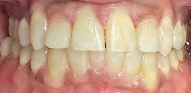
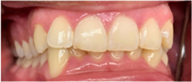
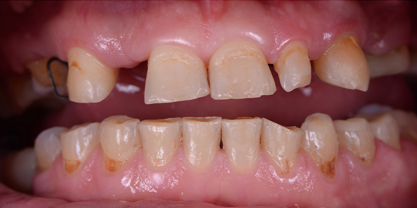
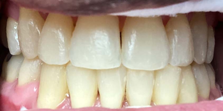
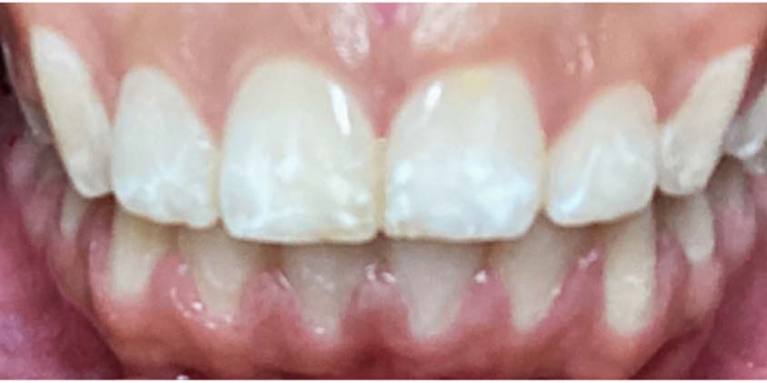
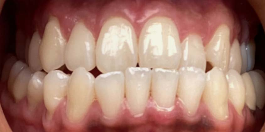
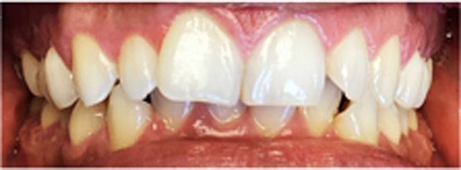
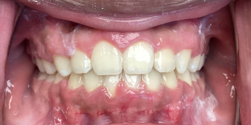
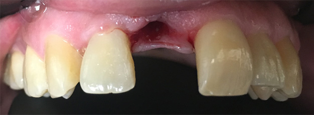
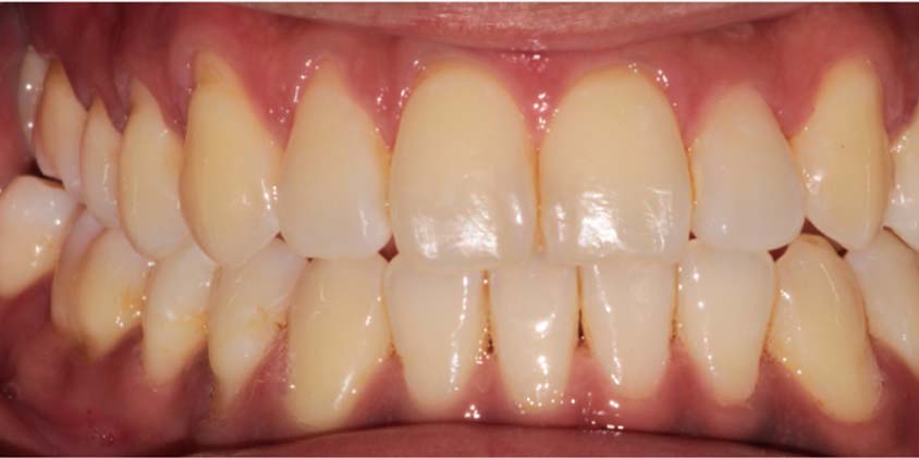
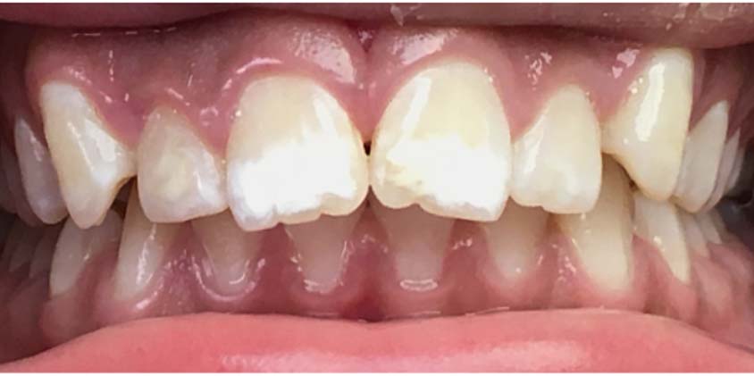
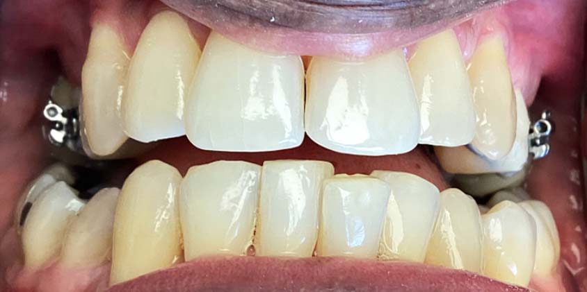
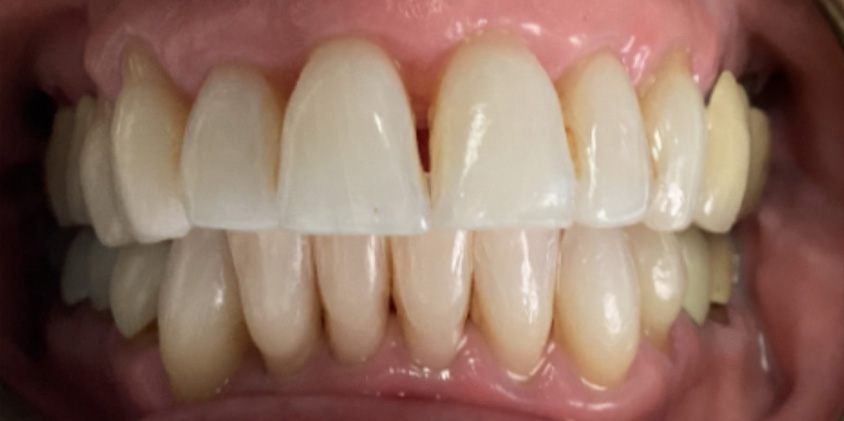
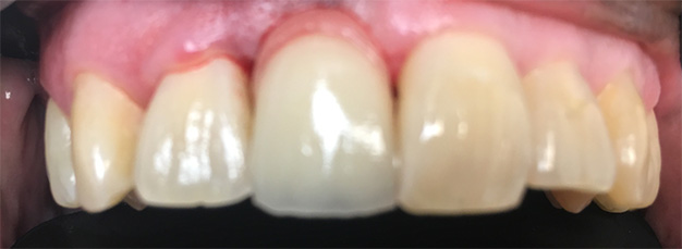
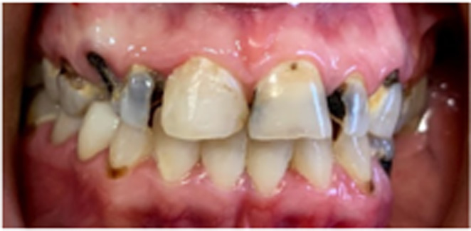
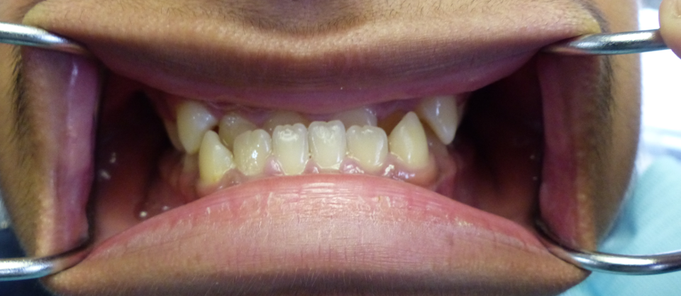
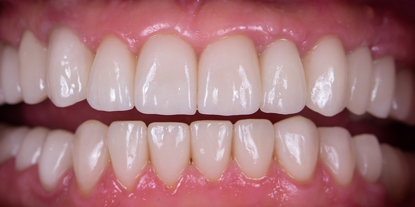
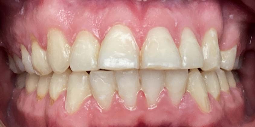
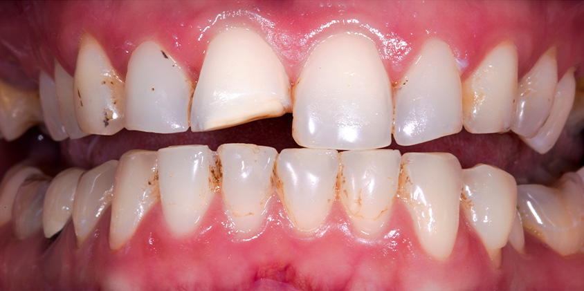
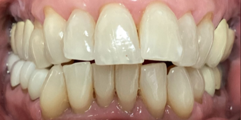
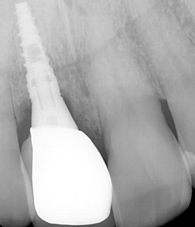
Smile Gallery

Additional Information

Our Location

825 Georges Rd
Suite 5
North Brunswick, NJ 08902
Existing Patients(732) 249-4800
New Patients(732) 979-2572

Follow Us